Shanghai Smartee Denti-Technology Co., Ltd.
Shanghai Smartee Denti-Technology Co., Ltd.

Deep Bite Molar Distalization

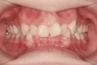
Female, aged 20. Chief complaint: Teeth misalignment, crowded maxillary anterior teeth.

Closed deep bite of anterior teeth, moderate crowding of upper and lower teeth, general facial profile.

Smartee invisible orthodontic treatment was applied to distalize maxillary molars, relieve crowded teeth, align the lower teeth and correct deep overbite.


Treatment Steps & Duration:

  • Steps: 40

  • Duration: 18 months

Before Treatment

Facial photos before treatment
Facial photos before treatment
Facial photos before treatment
Facial photos before treatment
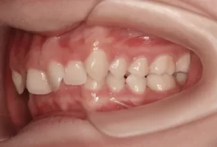
Intraoral photos
Intraoral photos
Intraoral photos
Intraoral photos
Intraoral photos
Intraoral photos
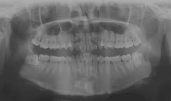
X-rays before treatment

[Panoramic Radiography/Lateral Cephalogram]

X-rays before treatment
X-rays before treatment

In Treatment

Intraoral photos
Intraoral photos
Intraoral photos
Intraoral photos
Intraoral photos
Intraoral photos

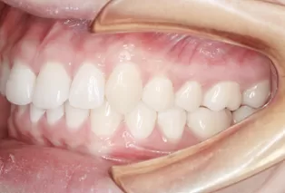
After Treatment

Facial photos before treatment
Facial photos before treatment
Facial photos before treatment
Facial photos before treatment
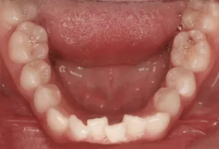
Intraoral photos after treatment
Intraoral photos after treatment
Intraoral photos after treatment
Intraoral photos after treatment
Intraoral photos after treatment
Intraoral photos after treatment
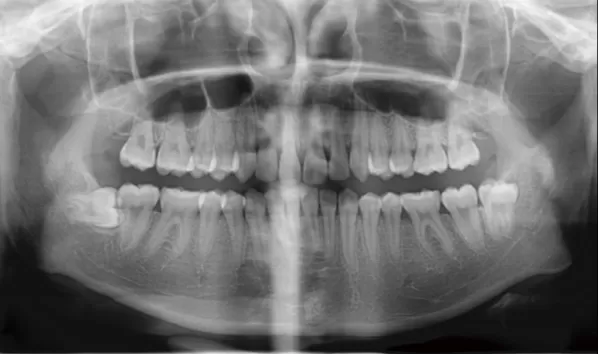
X-rays before treatment

[Panoramic Radiography/Lateral Cephalogram]

X-rays before treatment
X-rays before treatment

How to Choose a Reliable Teeth Aligner Company

The clear aligner industry has expanded rapidly, offering orthodontists and aligner brands numerous options for outsourcing production. Selecting the right manufacturer is critical—it directly impacts treatment quality, brand reputation, and patient satisfaction. Here's what to consider when evaluating teeth aligner companies:


1. Manufacturing Expertise & Quality Control

A teeth aligner company with in-house production ensures tighter quality control and faster adaptation to advancements like high-precision 3D printing. Ask about their materials, defect rates, and quality assurance processes to confirm consistency.


2. Material Quality & Technology

Medical-grade plastics with adjustable thickness options enhance comfort and treatment accuracy. Verify if the manufacturer uses FDA-approved materials and incorporates the latest digital orthodontic technologies for superior results.


3. Reputation & Industry Experience

Check reviews, case studies, and partnerships with dental professionals. A teeth aligner company with a proven track record in orthodontic manufacturing is more likely to deliver reliable aligners and support.


4. Customization & Branding Support

Look for options like branded packaging, stage numbering, and logo marking on aligners. Flexible small-batch orders allow scalable production without compromising quality.


5. Pricing Transparency & Support Services

Avoid unrealistically low-cost providers—prioritize transparency and financing options. Responsive customer service, training programs, and R&D investments indicate a commitment to long-term partnerships.


6. Research & Innovation

Teeth aligner companies investing in R&D adapt faster to industry trends, improving treatment precision. Ask about recent technological upgrades in their aligner designs.


Shanghai Smartee Denti-Technology Co., Ltd.
This site uses cookies. Visit our cookies policy page or click the link in any footer for more information and to change your preferences.
Accept all cookies
Accept only essential cookies
X