Shanghai Smartee Denti-Technology Co., Ltd.
Shanghai Smartee Denti-Technology Co., Ltd.

Deep Overbite and Overjet

Female, 25 years old. Chief complaint: protruding and misaligned teeth, requiring orthodontic treatment.

Adjust the left and right molar relationships by the distalization of upper and lower molars simultaneously. Align the dentition by retracting anterior teeth. Advance the mandible to improve the profile and gummy smile.


Orthodontic Treatment Stage and Duration

  • Treatment stage: 63 stages

  • Duration: 31 months

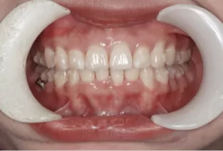
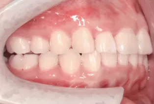
Before Treatment

Facial photos before treatment
teeth-invisible-aligners-1.png
teeth-invisible-aligners-2.png
teeth-invisible-aligners-3.png
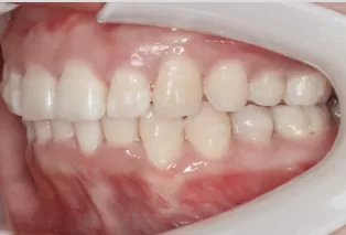
Intraoral photos
Intraoral photos
Intraoral photos
Intraoral photos
Intraoral photos
Intraoral photos
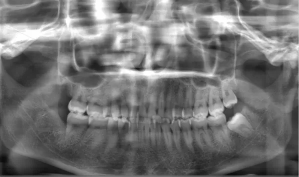
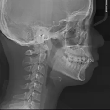
X-rays before treatment

[Panoramic Radiography/Lateral Cephalogram]

X-rays before treatment
X-rays before treatment

In Treatment

Intraoral photos
Intraoral photos
Intraoral photos
Intraoral photos
Intraoral photos
Intraoral photos

After Treatment

Facial photos before treatment
Facial photos before treatment
Facial photos before treatment
Facial photos before treatment
Intraoral photos after treatment
Intraoral photos after treatment
Intraoral photos after treatment
Intraoral photos after treatment
Intraoral photos after treatment
Intraoral photos after treatment
X-rays before treatment

[Panoramic Radiography/Lateral Cephalogram]

X-rays before treatment
X-rays before treatment

Looking for Dental Aligner Companies?

Here's What to Evaluating (Backed by Smartee's 20 Years of Expertise)


When choosing among dental aligner companies, Smartee—a pioneer with 20+ years of dedicated research and innovation—recommends focusing on these three critical factors based on 74.5M+ aligners delivered and collaborations with 83,000+ orthodontic doctors worldwide:


Advanced Technology & Patented Solutions


Smartee's 900+ patents, including mandibular repositioning technology, ensure clinically effective outcomes with specialized series like the Smartee GS and S1-S20 solutions.

Unlike generic aligners, Smartee's digital workflow guarantees precision from case submission to treatment planning.


Proven Global Trust & Scalability


Available in 52+ countries, Smartee combines fully automated manufacturing with AI-driven quality control, minimizing human error while maximizing consistency.


Comprehensive Clinical Support


The Smartee International Academy provides continuous training, empowering professionals with evidence-based techniques for successful invisible aligner treatments.


Shanghai Smartee Denti-Technology Co., Ltd.
This site uses cookies. Visit our cookies policy page or click the link in any footer for more information and to change your preferences.
Accept all cookies
Accept only essential cookies
X