Shanghai Smartee Denti-Technology Co., Ltd.
Shanghai Smartee Denti-Technology Co., Ltd.

Deep Overjet Maxillary Distalization Mandibular Advancement

Female, aged 14. Chief complaint: Teeth protruding, short chin.

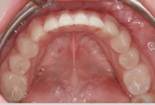
The lower 1/3 of her face is short. An 11 mm of overjet, and space between maxilla and mandible are observed.

Smartee invisible orthodontic treatment with jaw repositioning device was adopted to distalize maxillary molars and advance the mandible combining with the bite plate, improving overbite and overjet.


Orthodontic Treatment Steps & Duration:

  • Steps: 41 sets

  • Cycle: 18 months

Before Treatment

Facial photos before treatment
Facial photos before treatment
Facial photos before treatment
Facial photos before treatment
Intraoral photos
teeth-straightening-aligners-4.png
teeth-straightening-aligners-5.png
teeth-straightening-aligners-6.png
teeth-straightening-aligners-7.png
teeth-straightening-aligners-8.png
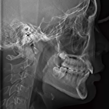
X-rays before treatment

[Panoramic Radiography/Lateral Cephalogram]

X-rays before treatment
X-rays before treatment

In Treatment

Intraoral photos
Intraoral photos
Intraoral photos
Intraoral photos
Intraoral photos
Intraoral photos

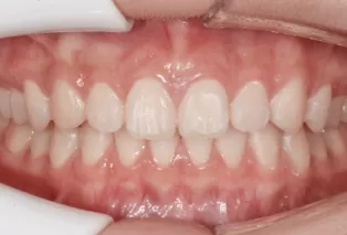
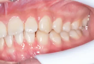
After Treatment

Facial photos before treatment
Facial photos before treatment
Facial photos before treatment
Facial photos before treatment
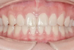
Intraoral photos after treatment
Intraoral photos after treatment
Intraoral photos after treatment
Intraoral photos after treatment
Intraoral photos after treatment
Intraoral photos after treatment
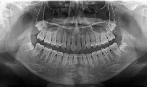
X-rays before treatment

[Panoramic Radiography/Lateral Cephalogram]

X-rays before treatment
X-rays before treatment
Shanghai Smartee Denti-Technology Co., Ltd.
This site uses cookies. Visit our cookies policy page or click the link in any footer for more information and to change your preferences.
Accept all cookies
Accept only essential cookies
X