Shanghai Smartee Denti-Technology Co., Ltd.
Shanghai Smartee Denti-Technology Co., Ltd.

Premolar Extraction Crossbite of Individual Teeth

Female, aged 29. Chief complaint: Teeth misalignment, requiring correction.

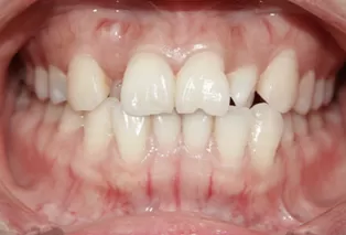
Crowding and misalignment of maxillary and mandibular teeth, crossbite of tooth 12 and 22, and midline misalignment.

Smartee clear aligner treatment was employed. Four maxillary and mandibular first premolars were extracted, and retraction was performed to align the upper and lower teeth, relieve overbite and overjet of the anterior teeth area and align the upper and lower

midline.


Orthodontic Treatment Steps and Cycle

  • Steps: 36+20+8 sets

  • Cycle: 27 months

Before Treatment

Facial photos before treatment
Facial photos before treatment
Facial photos before treatment
Facial photos before treatment
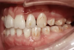
Intraoral photos
Intraoral photos
Intraoral photos
Intraoral photos
Intraoral photos
Intraoral photos
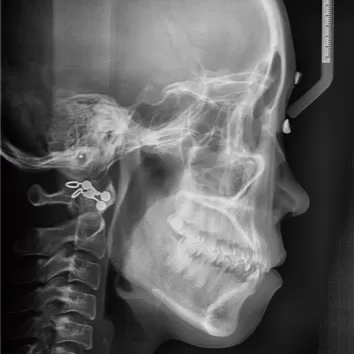
X-rays before treatment

[Panoramic Radiography/Lateral Cephalogram]

X-rays before treatment
X-rays before treatment

In Treatment

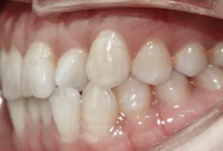
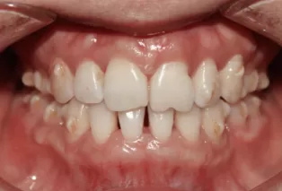
Intraoral photos
Intraoral photos
Intraoral photos
Intraoral photos
Intraoral photos
Intraoral photos

After Treatment

Facial photos before treatment
Facial photos before treatment
Facial photos before treatment
Facial photos before treatment
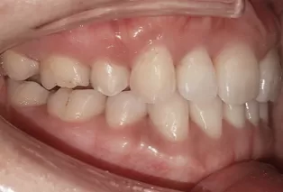
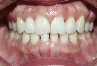
Intraoral photos after treatment
Intraoral photos after treatment
Intraoral photos after treatment
Intraoral photos after treatment
Intraoral photos after treatment
Intraoral photos after treatment
X-rays before treatment

[Panoramic Radiography/Lateral Cephalogram]

X-rays before treatment
X-rays before treatment
Shanghai Smartee Denti-Technology Co., Ltd.
This site uses cookies. Visit our cookies policy page or click the link in any footer for more information and to change your preferences.
Accept all cookies
Accept only essential cookies
X