Shanghai Smartee Denti-Technology Co., Ltd.
Shanghai Smartee Denti-Technology Co., Ltd.

S10 Correct Anterior Crossbite

Mandibular Positioning Originated Malocclusion with Facial Retrognathism


Age25
Chief ComplaintTeeth misalignment, Class III molar relationship, deviated chin
Diagnosis
  • Shen Gang Classification: Mandibular positioning originated malocclusion with facial retrognathism

  • Angle Classification: Class III malocclusion

Treatment Duration
  • Mandibular repositioning: 14 months

  • Total treatment duration: 25 months



Before Treatment

Facial photos before treatment
Facial photos before treatment
Facial photos before treatment
Facial photos before treatment
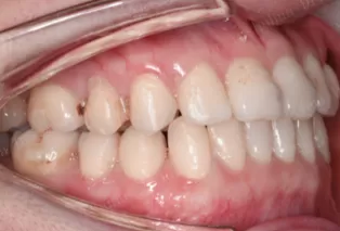
Intraoral photos
Intraoral photos
Intraoral photos
Intraoral photos
Intraoral photos
Intraoral photos
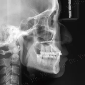
X-rays before treatment

[Panoramic Radiography/Lateral Cephalogram]

X-rays before treatment
X-rays before treatment

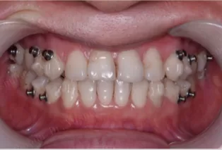
In Treatment

Intraoral photos
Intraoral photos
Intraoral photos
Intraoral photos
Intraoral photos
Intraoral photos

After Treatment

Facial photos before treatment
Facial photos before treatment
Facial photos before treatment
Facial photos before treatment
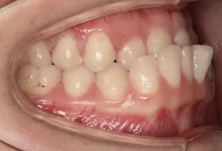
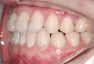
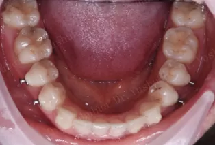
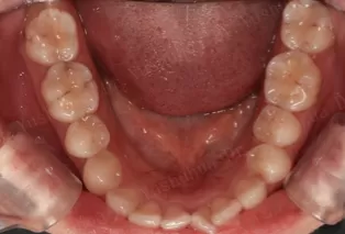
Intraoral photos after treatment
Intraoral photos after treatment
Intraoral photos after treatment
Intraoral photos after treatment
Intraoral photos after treatment
Intraoral photos after treatment
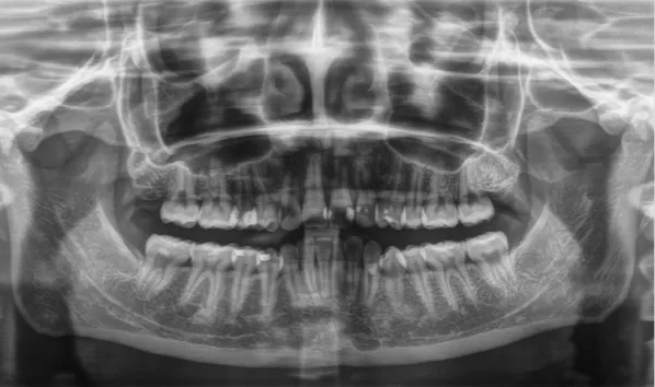
X-rays before treatment

[Panoramic Radiography/Lateral Cephalogram]

X-rays before treatment
X-rays before treatment

Doctor's Summary

1. Through Smartee mandibular repositioning technology: the mandible is forced to retreat to edge-to-edge, utilizing a maxillary posterior anatomical device with occlusal splints to lock the upper and lower occlusal position. 

2. During mandibular repositioning, align the teeth, level the curve of Spee and tight occlusion. 

3. Two maxillary canines were congenitally missing, 3 were replaced by 4, and the occlusal relationship was adjusted from Class I relationship to completely Class II relationship. 

4. Phase I to correct the corssbite and phase II to correct mandibular deviation.



Special thanks to Dr. Yu Shuhua for providing the above content

Shanghai Smartee Denti-Technology Co., Ltd.
This site uses cookies. Visit our cookies policy page or click the link in any footer for more information and to change your preferences.
Accept all cookies
Accept only essential cookies
X