Shanghai Smartee Denti-Technology Co., Ltd.
Shanghai Smartee Denti-Technology Co., Ltd.

S8-SGTB Mandibular advancement

Combined Skeletal And Mandibular Positioning Originated Malocclusion With Facial Prognathism (Subtype II)


Age23
Chief ComplaintMisalignment, poor occlusion, gummy smile
Diagnosis

Shen Gang Classification: Combined skeletal and mandibular positioning originated malocclusion with facial prognathism (Subtype II

Angle Classification: Class II malocclusion

Treatment Duration

Mandibular repositioning: 14 months

Total treatment duration: 24 months


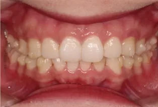
Before Treatment

Facial photos before treatment
Facial photos before treatment
Facial photos before treatment
Facial photos before treatment
Facial photos before treatment
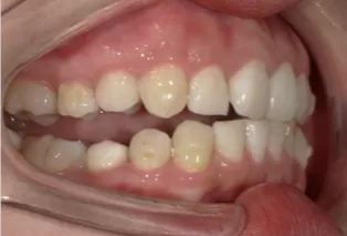
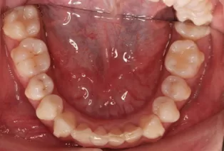
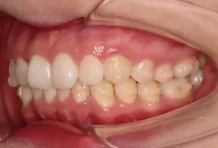
Intraoral photos
Intraoral photos
Intraoral photos
Intraoral photos
Intraoral photos
Intraoral photos
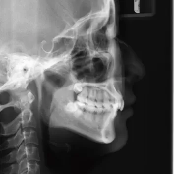
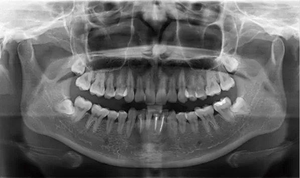
X-rays before treatment

[Panoramic Radiography/Lateral Cephalogram]

X-rays before treatment
X-rays before treatment

In Treatment

Intraoral photos
Intraoral photos
Intraoral photos
Intraoral photos
Intraoral photos
Intraoral photos

After Treatment

Facial photos before treatment
Facial photos before treatment
Facial photos before treatment
Facial photos before treatment
Facial photos before treatment
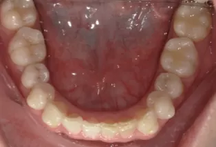
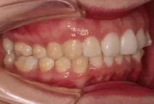
Intraoral photos after treatment
Intraoral photos after treatment
Intraoral photos after treatment
Intraoral photos after treatment
Intraoral photos after treatment
Intraoral photos after treatment
X-rays before treatment

[Panoramic Radiography/Lateral Cephalogram]

X-rays before treatment
X-rays before treatment

Doctor's Summary

1. The patient has a combined skeletal and mandibular positioning originated malocclusion with facial prognathism (subtype II), accompanied by mandibular retraction and anterior deep overbite. The treatment difficulty lies in how to improve the mandibular retraction and deep overjet of anterior teeth. Traditional invisible orthodontic treatment mainly focuses on intruding anterior teeth to improve the anterior overjet and adjusts the sagittal position of the lower arch through class II traction in some ways at the same time and improve the class II molar relationship. This is a relatively inefficient way of orthodontic treatment and prolonged class II traction may have unfavorable effects on the periodontal of lower anterior teeth and temporomandibular joints.

2. Apply Smartee GS mandibular repositioning technology (S8-SGTB) to advance the mandible to a normal position, which can not only improve the side facial profile but also guide the condyles that are in the receding position to an appropriate position and stimulate condylar remodeling. The position of the mandible and condylar will be stabilized through 10-12 months of mandibular advancement, and by simultaneously intruding the anterior teeth during advancement. This not only improves the deep overbite of the anterior teeth efficiently, but also improves the stability of the treatment results and reduces the difficulty and time of the occlusal contact of molars in the second phase.

3. A small amount of further proclination of the lower anterior teeth affects the results of mandibular advancement to a certain extent. A better treatment result will be obtained if the proclination of the lower anterior teeth is controlled with TADs or lip bumper.


Special thanks to Dr. Dai Zheng for providing the above content

Shanghai Smartee Denti-Technology Co., Ltd.
This site uses cookies. Visit our cookies policy page or click the link in any footer for more information and to change your preferences.
Accept all cookies
Accept only essential cookies
X