Shanghai Smartee Denti-Technology Co., Ltd.
Shanghai Smartee Denti-Technology Co., Ltd.

S8-SGHB Correct Anterior Openbite

Anterior open bite and mandibular deviation caused by condylar asymmetric resorption


Age26
Chief ComplaintTeeth misalignment, poor occlusion, deviated chin
Device UsedSmartee S8-SGHB
Diagnosis
  • Shen Gang Classification: Facial convexity (Skeletally originated), Mandibular Deviation (joint-originated)

  • Angle Classification: Class II

Treatment Steps & Duration


Before Treatment

Facial photos before treatment
Facial photos before treatment
Facial photos before treatment
Facial photos before treatment
Facial photos before treatment
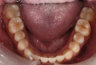
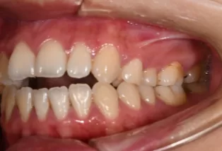
Intraoral photos
Intraoral photos
Intraoral photos
Intraoral photos
Intraoral photos
Intraoral photos
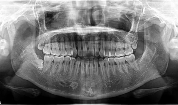
X-rays before treatment

[Panoramic Radiography/Lateral Cephalogram]

X-rays before treatment
X-rays before treatment

In Treatment

Intraoral photos
Intraoral photos
Intraoral photos
Intraoral photos
Intraoral photos
Intraoral photos

After Treatment

Facial photos before treatment
Facial photos before treatment
Facial photos before treatment
Facial photos before treatment
Facial photos before treatment
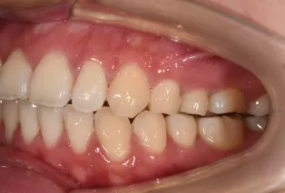
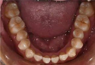
Intraoral photos after treatment
Intraoral photos after treatment
Intraoral photos after treatment
Intraoral photos after treatment
Intraoral photos after treatment
Intraoral photos after treatment
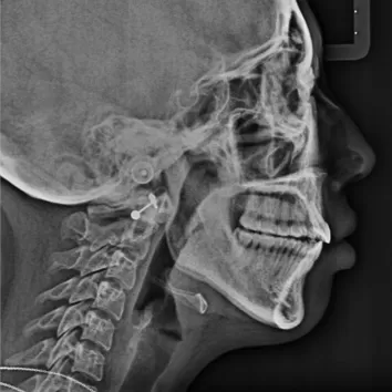
X-rays after treatment

[Panoramic Radiography/Lateral Cephalogram]

X-rays after treatment
X-rays after treatment
Shanghai Smartee Denti-Technology Co., Ltd.
This site uses cookies. Visit our cookies policy page or click the link in any footer for more information and to change your preferences.
Accept all cookies
Accept only essential cookies
X