Shanghai Smartee Denti-Technology Co., Ltd.
Shanghai Smartee Denti-Technology Co., Ltd.

Join the Smartee Family

Ready to start your own transformation? Learn more about our process and how we can help you achieve the smile you've always wanted!

3D simulation treatment plan.
3D simulation treatment plan. 3D simulation treatment plan.
3D simulation treatment plan.

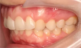
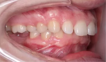
Name:Anna

Product: Smartee GE

Duration: 7 months

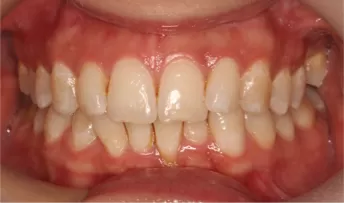
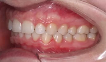
Before
Case 1
Case 1
Case 1
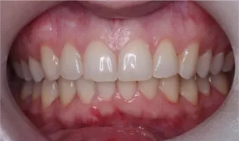
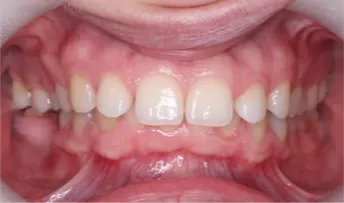
After
Case 1
Case 1
Case 1
3D simulation treatment plan.
3D simulation treatment plan. 3D simulation treatment plan.
3D simulation treatment plan.

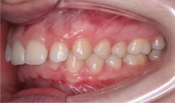
Name: Kamila

Product:  Smartee GE

Duration: 6 months

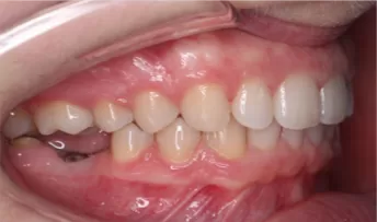
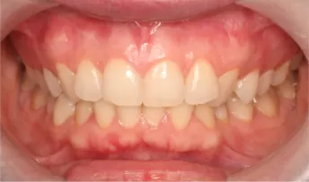
Before
Case 2
Case 2
Case 2
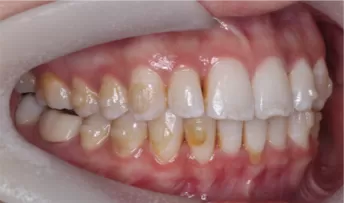
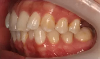
After
Case 2
Case 2
Case 2
3D simulation treatment plan.
3D simulation treatment plan. 3D simulation treatment plan.
3D simulation treatment plan.

Name: Elena

Product:  Smartee GS

Duration: 18 months

Before
Case 3
Case 3
Case 3
After
Case 3
Case 3
Case 3
Shanghai Smartee Denti-Technology Co., Ltd.
This site uses cookies. Visit our cookies policy page or click the link in any footer for more information and to change your preferences.
Accept all cookies
Accept only essential cookies
X