Shanghai Smartee Denti-Technology Co., Ltd.
Shanghai Smartee Denti-Technology Co., Ltd.

Smartee Teen-Facial Convexity- Mandibular Retrusion, 12 Years Old Male

Facial Convexity- Mandibular retrusion

Dento-alveolar

Patient: Male, 12 years old

Conditions: Anterior teeth protrusion, deep overbite, deep overjet, mandibular retrusion

Treatment Device: K1, SGTB


Before Treatment

Facial photos before treatment
Facial photos before treatment
Facial photos before treatment
Facial photos before treatment
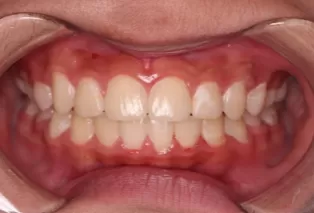
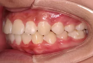
Intraoral photos
Intraoral photos
Intraoral photos
Intraoral photos
Intraoral photos
Intraoral photos
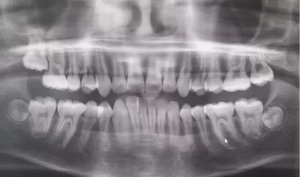
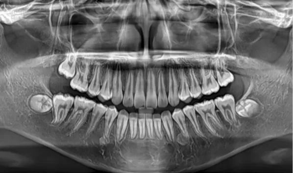
X-rays before treatment

[Panoramic Radiography/Lateral Cephalogram]

X-rays before treatment
X-rays before treatment

In Treatment_copy20241114

Intraoral photos_copy20241114

After Treatment

Facial photos before treatment
Facial photos before treatment
Facial photos before treatment
Facial photos before treatment
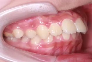
Intraoral photos after treatment
Intraoral photos after treatment
Intraoral photos after treatment
Intraoral photos after treatment
Intraoral photos after treatment
Intraoral photos after treatment
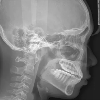
X-rays before treatment

[Panoramic Radiography/Lateral Cephalogram]

X-rays before treatment
X-rays before treatment
Shanghai Smartee Denti-Technology Co., Ltd.
This site uses cookies. Visit our cookies policy page or click the link in any footer for more information and to change your preferences.
Accept all cookies
Accept only essential cookies
X